The evolving paradigm of delayed cerebral ischemia
A comprehensive review of diagnostic and monitoring strategies
Delayed cerebral ischemia following aneurysmal subarachnoid hemorrhage is a multifactorial syndrome extending beyond large-vessel vasospasm. This review explores the evolving diagnostic and monitoring landscape, emphasizing a shift toward multimodal monitoring techniques that detect microcirculatory failure, spreading depolarizations, and metabolic distress.
Introduction: redefining delayed cerebral ischemia beyond vasospasm
The clinical burden and definition of delayed cerebral ischemia
Delayed cerebral ischemia (DCI) remains one of the most challenging complications following aneurysmal subarachnoid hemorrhage (aSAH), contributing significantly to mortality and long-term disability. Despite advances in the acute management of aSAH, DCI develops in approximately 30% of patients, and half of these individuals are left with sustained neurocognitive impairments. Clinically, DCI is defined as the development of a new focal neurological deficit (such as hemiparesis or aphasia) or a sustained reduction in the Glasgow Coma Score (GCS) of at least two points that persists for a minimum of 1 hour after other potential causes have been excluded. DCI often develops between 4 and 14 days after the initial insult. The profound impact of DCI on patient outcomes emphasizes the urgent need for accurate diagnosis and effective and timely management.
Multifactorial pathophysiology
For decades, the pathophysiology of DCI was almost exclusively attributed to large-vessel cerebral vasospasm – the prolonged, severe narrowing of major intracranial arteries visible on angiography. This model proposed a straightforward causal pathway: subarachnoid blood breakdown products trigger arterial constriction, leading to reduced cerebral blood flow (CBF) and subsequent ischemic injury. However, this vasospasm-centric paradigm has proven to be fundamentally incomplete. A critical dissociation exists between angiographic findings and clinical outcomes; radiographic evidence of vasospasm is observed in up to 70% of aSAH patients, yet only a fraction develops DCI. Conversely, as many as 50% of patients who suffer from clinically defined DCI show no evidence of significant large vessel narrowing on imaging.
This disparity is not a minor exception but rather the central explanation for a paradigm shift in our understanding of DCI. It reframes the condition from a distinct vascular event into a complex syndrome of cerebral tissue distress driven by multiple, often overlapping, pathological processes. Relying only on detecting large-vessel spasms to predict or prevent DCI has often failed in many patients. This indicates the need for a broader understanding of the condition and a more advanced monitoring approach. Modern evidence indicates that DCI arises from a complex interplay of mechanisms initiated by the early brain injury (EBI) that occurs within the first 72 hours post-hemorrhage. Key contributors to this multifactorial process include:
• Microthrombosis and microcirculatory dysfunction
The formation of microthrombi within the brain’s smallest vessels, coupled with endothelial dysfunction, impairs perfusion at the capillary level. This microcirculatory collapse can cause tissue ischemia independently of the status of large-calibre arteries.
• Cortical spreading depolarizations (CSDs)
These are waves of profound, self-propagating neuronal and glial depolarization that sweep across the cerebral cortex. CSDs induce a severe mismatch between metabolic demand and substrate supply, consuming vast energy reserves and exacerbating ischemic injury in the vulnerable brain.
• Neuroinflammation
The presence of blood in the subarachnoid space triggers a potent inflammatory cascade. This response leads to disruption of the blood–brain barrier, vasogenic edema, and direct activation of neuronal apoptosis pathways, all of which contribute to secondary brain injury.
This updated, multifactorial understanding of DCI explains why therapies aimed solely at reversing large-vessel vasospasm have had limited success and underscores the need for diagnostic and monitoring tools capable of detecting the downstream consequences of these diverse pathological processes.
Table 1. Summary of diagnostic and monitoring modalities for delayed cerebral ischemia
CBF, cerebral blood flow; cEEG, Continuous EEG; CSDs, cortical spreading depolarizations; CTA, computed tomography angiography; CTP, computed tomography perfusion; DSA, digital subtraction angiography; DWI, diffusion-weighted imaging; MFV, mean flow velocity; NIRS, near-infrared spectroscopy; PbO2, brain tissue oxygenation; TCD, transcranial Doppler;
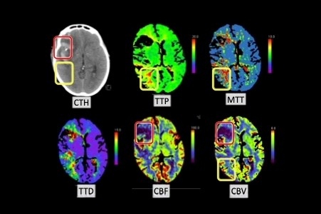
Figure 1. Multi-modal CT perfusion (CTP) imaging; The red boxes delineate areas of severe hypoperfusion following a subarachnoid hemorrhage characterized by reduced CBF and potentially CBV with prolonged TTP/MTT. The yellow boxes highlight regions with less severe perfusion deficits, potentially representing areas at risk for DCI. These maps are crucial for identifying and monitoring DCI.
CBF, cerebral blood flow; CBV, cerebral blood volume; CTH, computed tomography head; MTT, mean transit time; TTD, time to dispersion; TTP, time to peak.
Diagnosis: visualizing the pathophysiological footprint of DCI
The diagnosis of DCI has evolved from reliance on clinical examination alone to a sophisticated suite of tools that can visualize the anatomical, hemodynamic and molecular signatures of cerebral injury.
Hemodynamic and anatomical imaging
Transcranial Doppler
As a non-invasive, low-cost, and readily available bedside tool, transcranial Doppler (TCD) has long been a cornerstone of DCI monitoring. It uses the Doppler principle to measure blood flow velocities in the large cerebral arteries. The underlying assumption is that as a vessel narrows due to vasospasm, flow velocity must increase. Diagnostic thresholds for mean flow velocity (MFV) are used to grade the severity of vasospasm, with values exceeding 200 cm/s in the middle cerebral artery indicating severe vasospasm. The American Heart Association/American Stroke Association (AHA/ASA) supports its use for diagnosing and monitoring arterial vasospasm. However, TCD has significant limitations it is highly operator-dependent and provides an indirect measure of CBF or perfusion. High velocities do not always equate to low blood flow, as factors like hypervolemia, anemia or compensatory collateral circulation can influence readings, making it a potentially misleading indicator of tissue perfusion.
Computed tomography angiography and perfusion
These advanced computed tomography (CT) techniques provide a more direct and comprehensive assessment. CT angiography (CTA) offers rapid, high-resolution anatomical visualization of the cerebral vasculature, demonstrating high sensitivity (80%) and specificity (93%) for detecting proximal vasospasm. CT perfusion (CTP) moves beyond anatomy to physiology by tracking an intravenous contrast bolus to generate quantitative maps of key perfusion parameters, including CBF, cerebral blood volume (CBV), and mean transit time (MTT). This allows clinicians to visualize areas of hypoperfusion directly. A CBF value below a critical threshold of 25 mL/100g/min is a strong indicator of tissue at high risk for infarction and clinically relevant DCI. The ability of CTP to distinguish true hypoperfusion from the high-velocity state sometimes seen in TCD represents a significant diagnostic advantage.
Magnetic resonance imaging
Magnetic resonance imaging (MRI), particularly with diffusion-weighted imaging (DWI), offers the highest sensitivity for detecting early ischemic tissue injury. DWI can identify cytotoxic edema – the hallmark of irreversible cell injury – hours before an infarct becomes visible on a standard CT scan. Despite its diagnostic power, the utility of MRI in the acute setting is often constrained by logistical challenges, including the need to transport critically ill and unstable patients to the MRI suite, as well as contraindications related to metallic implants.
Digital subtraction angiography
Digital subtraction angiography (DSA) remains the undisputed gold standard for visualizing cerebral vasculature. By providing real-time, high-resolution images of blood vessels, it can definitively confirm the presence, location, and severity of vasospasm. However, its invasive nature, which carries a small but significant risk of stroke or hemorrhage, means it is typically reserved for cases where an endovascular intervention, such as balloon angioplasty or intra-arterial vasodilator infusion, is being actively considered.
The emerging utility of biochemical markers
Complementing advanced imaging, biochemical markers provide a molecular window into the specific pathological processes driving DCI. Sampling of cerebrospinal fluid (CSF) or serum can reveal the molecular footprint of neuronal injury and endothelial dysfunction.
• Markers of neuronal injury
Neuron-specific enolase (NSE) and S100β are proteins released from damaged neurons and glial cells, respectively. Elevated levels in either CSF or blood serve as sensitive biomarkers of neuronal death and have been shown to correlate with the severity of the initial injury and predict in-hospital mortality. Although their role in DCI prediction is still being refined, they provide a quantitative measure of the extent of brain injury.
• Markers of endothelial dysfunction
The inflammatory cascade following aSAH damages the vascular endothelium. This is reflected by rising serum levels of matrix metalloproteinase-9 (MMP-9), von Willebrand factor (VWF), and vascular endothelial growth factor (VEGF). Studies have associated elevated levels of these markers with an increased subsequent risk of developing DCI, suggesting they may serve as early warning signs of vascular pathology.
• Cell-free hemoglobin (CSF-Hb)
As red blood cells lyse in the subarachnoid space, they release cell-free hemoglobin, a potent driver of secondary brain injury. CSF-Hb scavenges nitric oxide (a crucial vasodilator), promotes oxidative stress, and fuels the inflammatory response. There is a strong pathophysiological link between CSF-Hb concentration and the development of vasospasm and poor outcomes. Consequently, prospective studies are underway to validate CSF-Hb as a primary monitoring biomarker for identifying patients at high risk for DCI.
Monitoring: a real-time window into cerebral distress
Although the diagnostic tools described above are invaluable for confirming DCI, their primary limitation is that they are often used reactively – that is after a clinical change has already occurred. The true frontier in DCI management lies in continuous monitoring technologies that can detect physiological deterioration before it leads to irreversible neuronal injury. This proactive approach aims to identify physiological derangements at a reversible stage, transforming DCI management from damage control into pre-emptive neuroprotection.
Electrophysiological surveillance
Continuous EEG (cEEG): cEEG provides a non-invasive, real-time assessment of cortical electrical function. As brain tissue becomes ischemic, its electrical activity undergoes predictable changes. Quantitative EEG (qEEG) analysis can detect subtle shifts, such as a slowing of background rhythms, a decrease in the alpha-delta ratio, and a loss of alpha variability, which are all strong predictors for developing ischemia. Also, cEEG is essential for detecting non-convulsive seizures, which are common in these patient population. Most importantly, advanced electrocorticography techniques can detect CSDs. The identification of these waves of neuronal silencing provides a direct therapeutic target. It is strongly associated with the subsequent development of DCI, making cEEG a critical tool for identifying this specific injury mechanism.
Monitoring cerebral oxygenation and metabolism
Brain tissue oxygenation
This invasive technique involves placing a small probe directly into the brain parenchyma of an at-risk vascular territory. It provides a direct, continuous measurement of local tissue oxygen tension, reflecting the delicate balance between oxygen delivery and consumption. A sustained drop in brain tissue oxygenation (PbO2) below a critical threshold of 15−20 mmHg is a definitive sign of focal cerebral hypoxia. This drop often precedes any clinical signs of DCI, serving as an early warning that mandates immediate intervention to improve cerebral perfusion, such as augmenting blood pressure.
Near-infrared spectroscopy
As a non-invasive alternative, near-infrared spectroscopy (NIRS) uses scalp-applied probes to estimate regional cortical oxygen saturation. Although it is less precise than invasive PbO2 monitoring and can be affected by signal contamination from extracranial tissues, NIRS can be a useful bedside adjunct for continuous trend monitoring, alerting clinicians to significant deviations from a patient’s baseline.
Cerebral microdialysis
Perhaps the most powerful tool for proactive monitoring, cerebral microdialysis offers a real-time window into brain metabolism. An invasive catheter with a semipermeable membrane allows for the sampling of extracellular fluid, enabling bedside measurement of key metabolic substrates and waste products. A rising lactate/pyruvate (L/P) ratio above 40 is a hallmark of a shift to anaerobic metabolism, a definitive sign of ischemia. Simultaneously, rising glutamate levels signal excitotoxicity and critically low glucose levels (<0.2 μmol/L) indicate profound substrate failure. The predictive power of this technology is its most significant advantage. Studies have shown that these metabolic derangements, particularly elevations in glutamate and lactate, can peak up to 24 hours before the onset of clinical symptoms or the appearance of an infarct on imaging. This provides clinicians with an invaluable therapeutic window to intervene proactively and potentially avert irreversible neuronal death.
Future directions: towards proactive and personalized DCI management
The future of DCI care is moving away from a reactive, one-size-fits-all approach to a proactive, personalized strategy guided by advanced monitoring and targeted therapeutics.
Integration of multimodal data
The true power of modern neuromonitoring will be realized not by using these technologies in isolation but by integrating their data streams into a comprehensive, real-time dashboard of brain health. By combining data from cEEG (electrical function), CTP (perfusion), PbO2 (oxygenation), and microdialysis (metabolism), clinicians can build a detailed, moment-to-moment picture of an individual patient’s cerebral physiology. This integrated view will allow for highly targeted and personalized interventions. Risk stratification tools, such as the VASOGRADE scale, which combines clinical and radiographic features, can help identify high-risk patients who would benefit most from such intensive, multimodal monitoring.
Novel therapeutic targets and delivery systems
As our understanding of the multifactorial pathophysiology of DCI deepens, so too does the pipeline of potential therapies that look beyond simple vasodilation. Agents targeting other key mechanisms are under active investigation, including endothelin-receptor antagonists (clazosentan) to combat vasoconstriction, Rho-kinase inhibitors (fasudil) to modulate smooth muscle contraction, and various free radical scavengers to mitigate oxidative stress. Furthermore, innovative drug delivery systems are being developed to overcome the challenge posed by the blood–brain barrier. These include sustained-release, implantable micro-particles that can deliver calcium channel blockers, such as nimodipine or nicardipine, directly into the CSF over several weeks, providing localized, prolonged therapy at the site of injury.
Personalized intervention
The ultimate goal is to tailor therapy to the dominant pathophysiological mechanism in each patient. The wealth of data from advanced monitoring will enable a new form of “DCI phenotyping”. For example, a patient whose monitoring data show severe vasospasm on DSA and high velocities on TCD may be best treated with endovascular balloon angioplasty. In contrast, a patient with normal large-vessel imaging but who is experiencing relentless CSDs on cEEG and has a rising L/P ratio on microdialysis would likely not benefit from angioplasty. Instead, their treatment should focus on therapies aimed at stabilizing neuronal membranes and restoring metabolic balance. This ability to match a specific treatment to a particular underlying pathology represents a true paradigm shift, heralding an era of personalized neurocritical care for patients with aSAH.
Bibliography
1. Thilak S, Brown P, Whitehouse T et al. Diagnosis and management of subarachnoid haemorrhage. Nat Commun 2024;15(1):1850 (https://doi.org/10.1038/s41467-024-46015-2).
2. Akeret K, Buzzi RM, Saxenhofer M et al; HeMoVal Research Group. The HeMoVal study protocol: a prospective international multicenter cohort study to validate cerebrospinal fluid hemoglobin as a monitoring biomarker for aneurysmal subarachnoid hemorrhage related secondary brain injury. BMC Neurol 2022;22(1):267 (https://doi.org/10.1186/s12883-022-02789-w).
3. Castle-Kirszbaum M, Lai L, Maingard J et al. Intravenous milrinone for treatment of delayed cerebral ischaemia following subarachnoid haemorrhage: a pooled systematic review. Neurosurg Rev 2021;44(6):3107–3124 (https://doi.org/10.1007/s10143-021-01509-1).
4. de Oliveira Manoel AL, Jaja BN, Germans MR et al; SAHIT collaborators. The VASOGRADE: a simple grading scale for prediction of delayed cerebral ischemia after subarachnoid hemorrhage. Stroke 2015;46(7):1826–1831 (https://doi.org/10.1161/STROKEAHA.115.008728).
5. Diringer MN, Bleck TP, Claude Hemphill J 3rd et al; Neurocritical Care Society. Critical care management of patients following aneurysmal subarachnoid hemorrhage: recommendations from the Neurocritical Care Society’s Multidisciplinary Consensus Conference. Neurocrit Care 2011;15(2):211–240 (https://doi.org/10.1007/s12028-011-9605-9).
6. Dodd WS, Laurent D, Dumont AS et al. Pathophysiology of delayed cerebral ischemia after subarachnoid hemorrhage: a review. J Am Heart Assoc 2021;10(15):e021845 (https://doi.org/10.1161/JAHA.121.021845).
7. Dreier JP, Winkler MKL, Major S et al. Spreading depolarizations in ischaemia after subarachnoid haemorrhage, a diagnostic phase III study. Brain 2022;145(4):1264–1284 (https://doi.org/10.1093/brain/awab457).
8. Foreman B, Claassen J. Quantitative EEG for the detection of brain ischemia. Crit Care 2012;16(2):216 (https://doi.org/10.1186/cc11230).
9. Francoeur CL, Mayer SA. Management of delayed cerebral ischemia after subarachnoid hemorrhage. Crit Care 2016;20(1):277 (https://doi.org/10.1186/s13054-016-1447-6).
10. Helbok R, Kofler M, Schiefecker AJ et al. Clinical use of cerebral microdialysis in patients with aneurysmal subarachnoid hemorrhage-state of the art. Front Neurol 2017;8:565 (https://doi.org/10.3389/fneur.2017.00565).
11. Hoh BL, Ko NU, Amin-Hanjani S et al. 2023 Guideline for the management of patients with aneurysmal subarachnoid hemorrhage: a guideline from the American Heart Association/American Stroke Association. Stroke 2023;54(7):e314–e370 (https://doi.org/doi:10.1161/STR.0000000000000436).
12. Kumar G, Shahripour RB, Harrigan MR. Vasospasm on transcranial Doppler is predictive of delayed cerebral ischemia in aneurysmal subarachnoid hemorrhage: a systematic review and meta-analysis. J Neurosurg 2016;124(5):1257–1264 (https://doi.org/10.3171/2015.4.JNS15428).
13. Labeyrie MA, Gaugain S, Boulouis G et al. Distal balloon angioplasty of cerebral vasospasm decreases the risk of delayed cerebral infarction. AJNR Am J Neuroradiol 2019;40(8):1342–1348 (https://doi.org/10.3174/ajnr.A6124).
14. Mir DI, Gupta A, Dunning A et al. CT perfusion for detection of delayed cerebral ischemia in aneurysmal subarachnoid hemorrhage: a systematic review and meta-analysis. AJNR Am J Neuroradiol 2014;35(5):866–871 (https://doi.org/10.3174/ajnr.A3787).
15. Rowland MJ, Hadjipavlou G, Kelly M et al. Delayed cerebral ischaemia after subarachnoid haemorrhage: looking beyond vasospasm. Br J Anaesth 2012;109(3):315–329 (https://doi.org/10.1093/bja/aes264).
The interviewee
Dr Suneesh Thilak DNB Anaes,
IDCCM, MPhil, EDAIC, EDIC, AFICM
Consultant ITU and Anaesthesia
New Cross Hospital,
Royal Wolverhampton NHS Trust, Wolverhampton, UK
Email: suneesh.thilak@nhs.net







